他院では「抜くしかない」と言われたお子さまでも、ひかり歯科医院ではほぼ100%抜歯せずに治療を完了しています。
特に10歳前後の歯の生え変わりの時期にスタートできれば、ほぼ100%のケースで歯を抜くことなく、自然に美しい歯並びへ導くことができます。
子どものうちに始めると、顎の成長をサポートできます。
それにより、歯が生えるためのスペースを育てられます。この治療のチャンスは、成長期を過ぎると得られません。
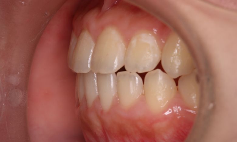
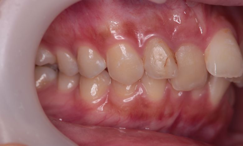
上下顎ともに犬歯が唇側に大きく突出しており、歯列弓が狭小なため、
他院では上下左右4本の便宜抜歯を前提とした矯正治療を提案されていました。

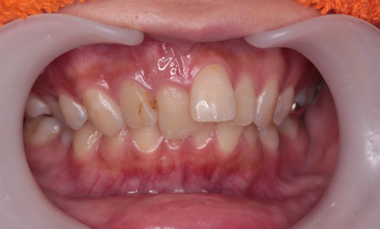
上顎には左右の犬歯が著しく唇側に偏位している

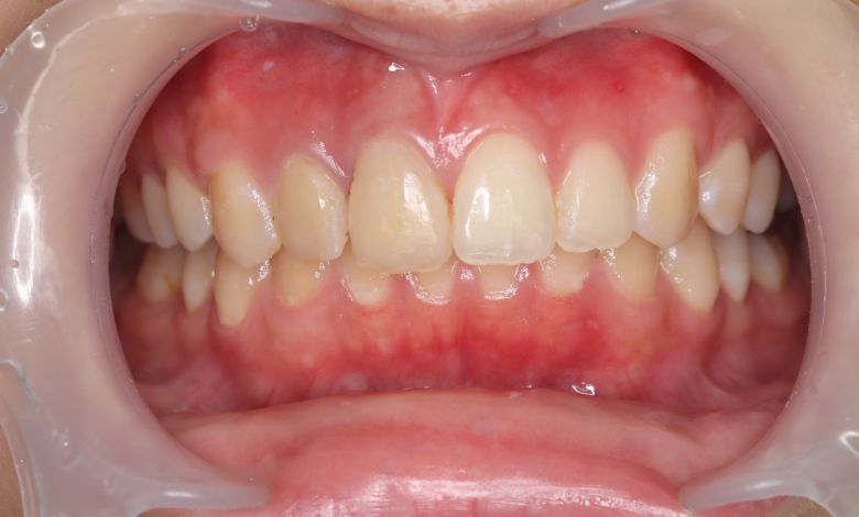
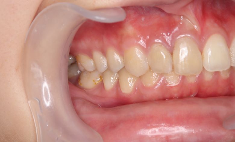
正常な咬合関係が確立され、前歯の自然なアーチと歯軸も整い、歯列全体が滑らかなカーブを描く美しい歯並びに

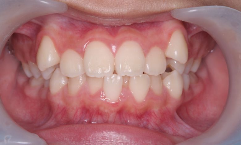
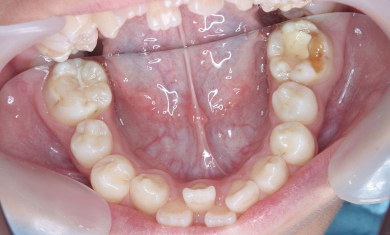
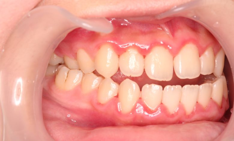
上下ともに歯並びが乱れており、噛み合わせにも大きな不調和が見られる

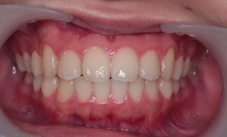
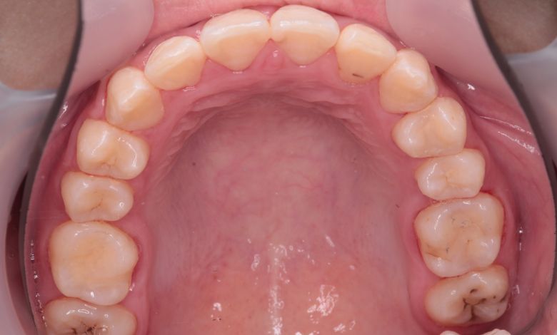
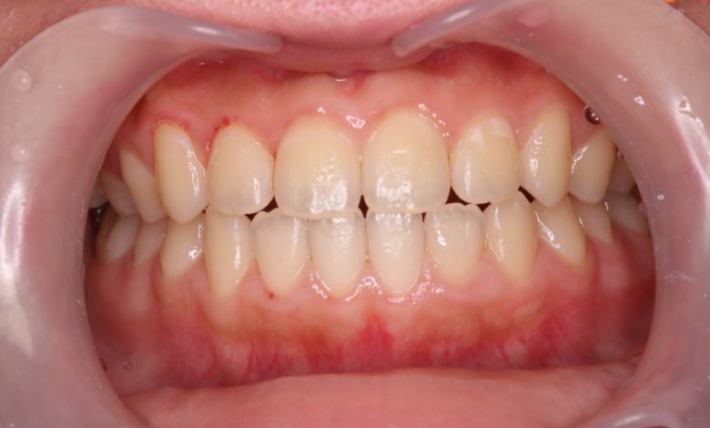
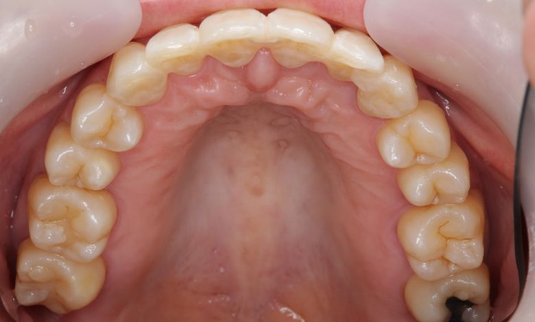
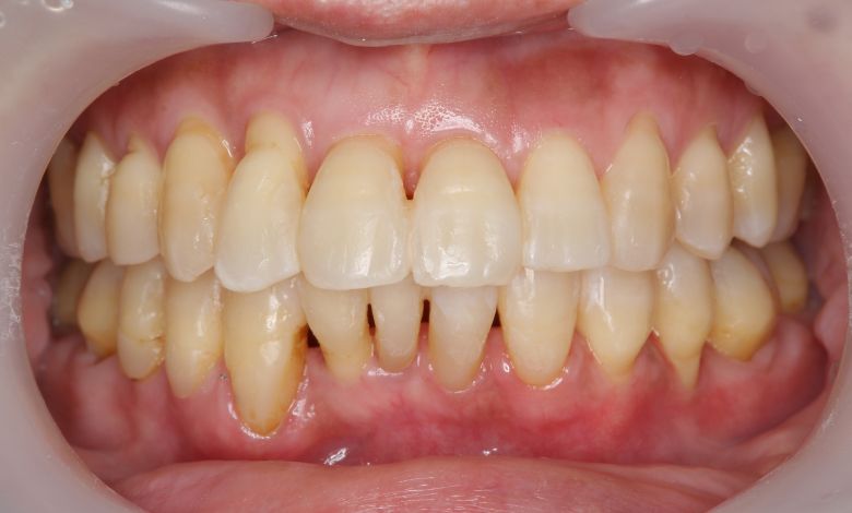
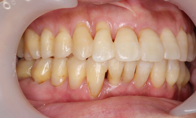
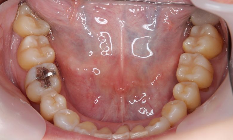
上下の歯がしっかりと噛み合う、美しい咬合(こうごう)が得られた

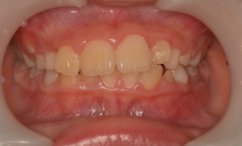
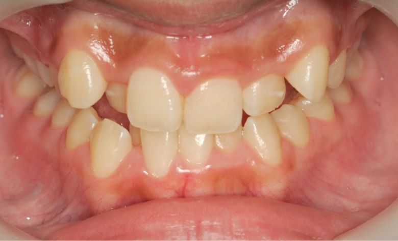
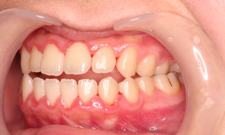
下の前歯が3本、強く重なり合って生えており、歯並びの乱れが目立つ

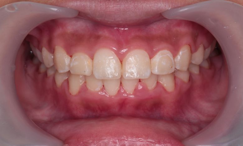
前歯が綺麗に揃っている
精密検査の結果、当院では抜歯を行わず、歯列弓の拡大によってスペースを確保し、非抜歯での矯正治療を選択しました。歯列の叢生(ガタガタ)は解消され、機能的かつ審美的に優れた咬合が得られました。
他院にて上下左右4本の抜歯を前提とした矯正治療を提案されていました。上顎・下顎ともに歯列弓が狭く、
V字型の弓状を呈していたため、叢生(歯の重なり)が強く、噛み合わせにも不調和が見られる状態でした。

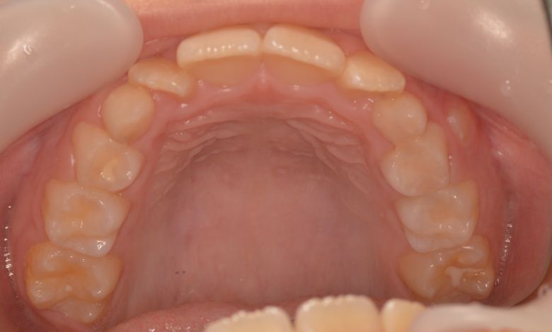
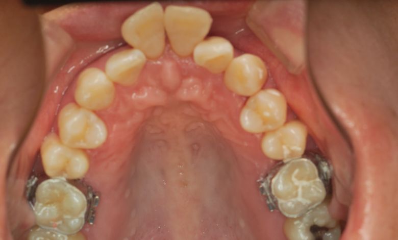
上顎歯列はV字型に近く、全体的にアーチが狭窄している状態

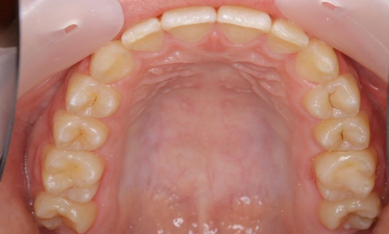
叢生が解消され、歯列全体にわたり滑らかで調和のとれた配列が得られています

上下の咬合関係も不正で、機能的にも審美的にも問題のある状態でした

上下の前歯の重なりが解消され、歯軸の傾きも整いました。咬合関係も安定しています

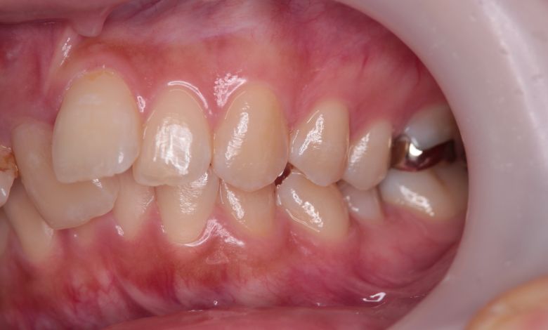
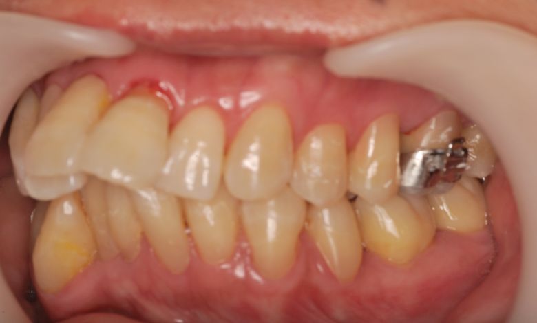
下顎の歯列では、前歯部に強い重なりが見られ、中切歯および側切歯がねじれたり前後にずれて生えているのが確認できる

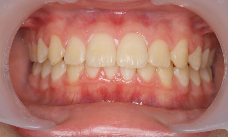
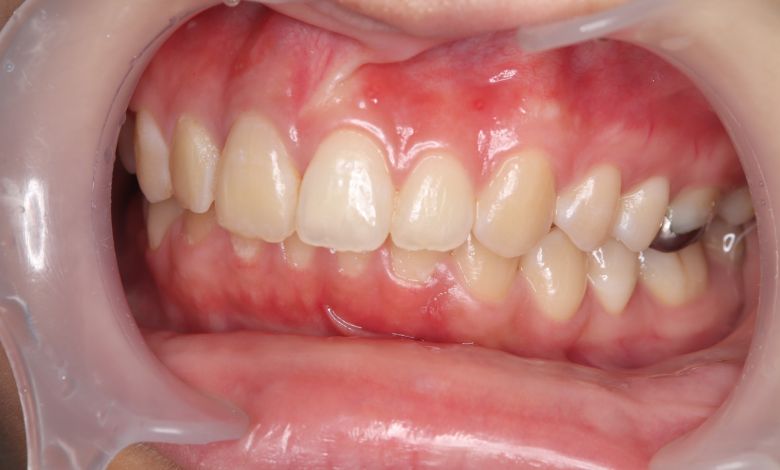
術前に認められた前歯3本の強い重なりは完全に解消され、スムーズな歯列が形成されました。
精密検査の結果、抜歯を行わずに歯列弓を拡大する治療方針を選択。歯が正しい位置に並ぶスペースを
確保したことで、歯列は自然なU字型に整い、叢生が解消されました。見た目の改善だけでなく、
咀嚼機能の向上や清掃性の改善といった機能面での効果も期待できます。
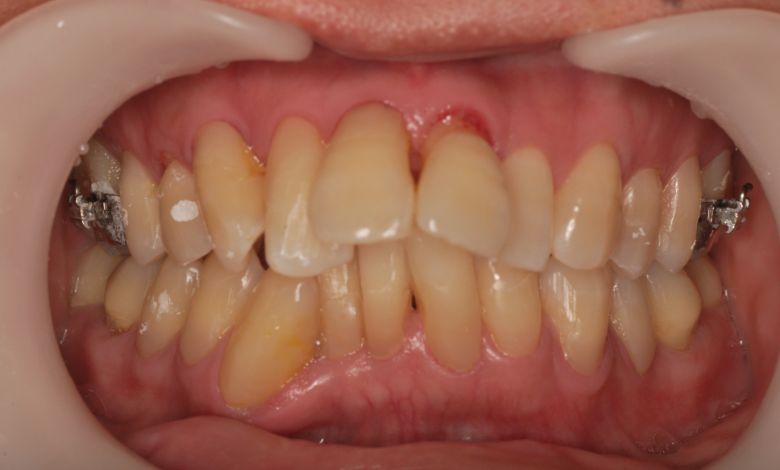
歯列全体に強いガタつき(叢生)が見られ、特に上下の前歯は重なりが大きく、見た目にも咬み合わせにも
大きな不調和がありました。歯列弓はV字型に狭く、他院では抜歯を伴う矯正治療が提案されていました。

歯列弓はV字型に狭く、左右の犬歯が唇側に大きく転位している状態

歯列弓はV字型から自然でゆったりとしたU字型へと広がり、唇側に転位していた犬歯も正しい歯列内に整列されています。

上下の前歯に強い重なりが見られます。特に上顎犬歯と下顎前歯のズレが顕著で、自然な咬合が形成されていない

上下の前歯の重なりや段差は完全に解消され、咬合関係も安定してる。自然なスマイルラインが形成され、口元の印象も大きく改善された

前歯部では3歯が大きく重なり、ねじれや傾斜も伴っている。歯列弓は狭く、U字型から逸脱した非対称な形態

歯列弓の側方拡大により適切なスペースが確保され、歯が綺麗に並んでいます
当院では抜歯を行わず、歯列弓を広げてスペースを確保する治療を選択。歯並びは自然なU字型へと整い、前歯の重なりも解消されました。咬み合わせが改善され、見た目の美しさはもちろん、咀嚼機能や清掃性の向上といった機能面でも良好な結果が得られています。
どこをどこまで治したいのか
反対咬合(受け口)の状態が重度で、複数の歯科医院から「外科手術をしなければ改善は難しい」と診断され、当院に来院されました。



上顎前歯が下顎前歯よりかなり内側に位置している

正常な咬合関係が確立され、前歯の自然なアーチと歯軸も整い、歯列全体が滑らかなカーブを描く美しい歯並びに

下顎が上顎より著しく前に出ている

下顎が上顎より後ろにきて、綺麗な歯並びになってい



奥歯より順番に後方に移動させる治療計画を立案

一本の歯も抜かずに、正しいかみ合わせに移行
精密検査の結果、矯正治療のみで改善の可能性があると判断し、下顎の歯列を奥歯から順に後方移動させる計画を立てました。時間はかかりましたが、治療を重ねることで徐々に咬み合わせが改善し、最終的には外科手術を行うことなく、完全な正常咬合に移行することができました。
前歯の重なりが強く、他院では「上下4本の抜歯が必要」と診断されたとのことで、当院にご相談にいらっしゃいました。

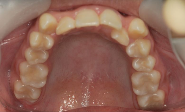
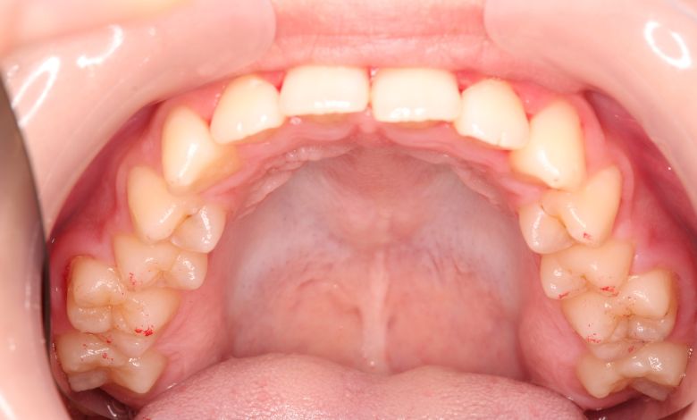
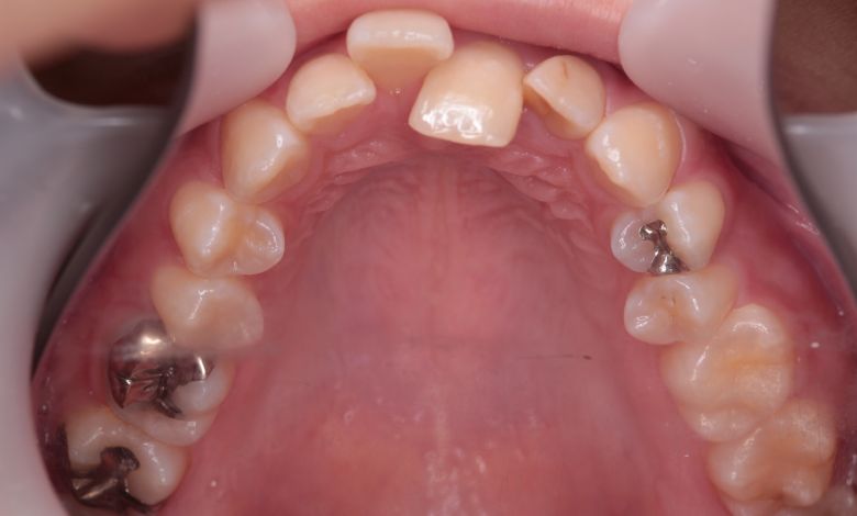
歯並びがV字型で歯茎の土手(歯列弓)が狭く、歯が並ぶスペースが狭い

歯並びがU字型になって、歯茎の土手(歯列弓)が広くなった。

前歯の重なりが大きい

前歯の重なりがなくなって、綺麗な歯並びになった。



一本がかなりの出歯に

出歯は解消している。

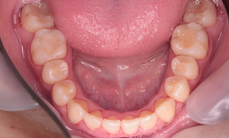
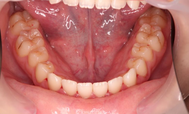
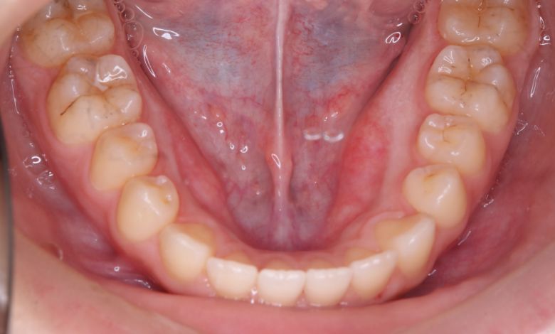
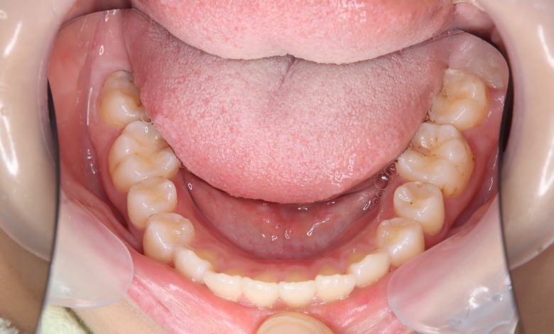
下顎の歯が凸凹している

下顎の歯が整ってきれいにならんでいる
治療前は前歯の重なりが強く見られましたが、歯茎の土手(歯列弓)そのものを広げる治療を行うことで、上下ともにV字型だった歯列が自然なアーチ型へと拡大し、結果的に無理なく歯列を整えることに成功しました。
前歯の突出が強く、他院では「上下4本の抜歯をしなければ歯が並ばない」と診断され、抜歯以外の選択肢を求めて当院にご相談にいらっしゃいました。

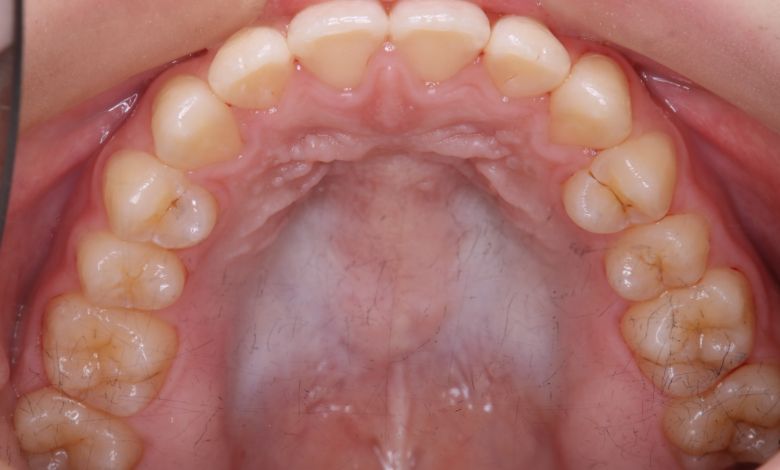
歯茎の土手(歯列弓)が狭く、歯が並ぶスペースが狭い

歯並びがU字型になって、歯茎の土手(歯列弓)が広くなった。



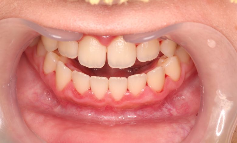
前歯が出っ歯になっている

出っ歯がかなり小さくなった。



奥歯が舌側に倒れている

奥歯の倒れが小さくなった。
歯茎の土手(歯列弓)自体を広げることで、上下ともにV字型だった歯列が自然なアーチ型に広がり、結果的に無理なく歯列を整えることに成功しました。前歯の突出(上顎前突)が改善されただけでなく、奥歯の舌側への傾斜も解消され、咬合全体が安定した状態となっています。
3D装置を活用し、歯列のアーチ(歯列弓)自体を広げて整えます。
抜歯矯正で起こりやすい「ほうれい線」や「隙間」が出にくく、後戻りリスクも軽減されます。
一般的な咬合紙の4倍精度(8ミクロン)で咬み合わせをチェックしています。
自然な広がりを待つため、時間をかけて進める必要があります。
ただし、ケースによってはかえって治療期間も費用も少なく済むこともあります。


















| 診療時間 | 月 | 火 | 水 | 木 | 金 | 土 | 日 |
|---|---|---|---|---|---|---|---|
| 10:00〜13:00 | ● | ● | ● | ▲ | ● | ▲ | ー |
| 15:00〜18:00 | ● | ● | ● | ー | ● | ー | ー |
子どもも、大人も。“歯を抜かない矯正”が選べます。